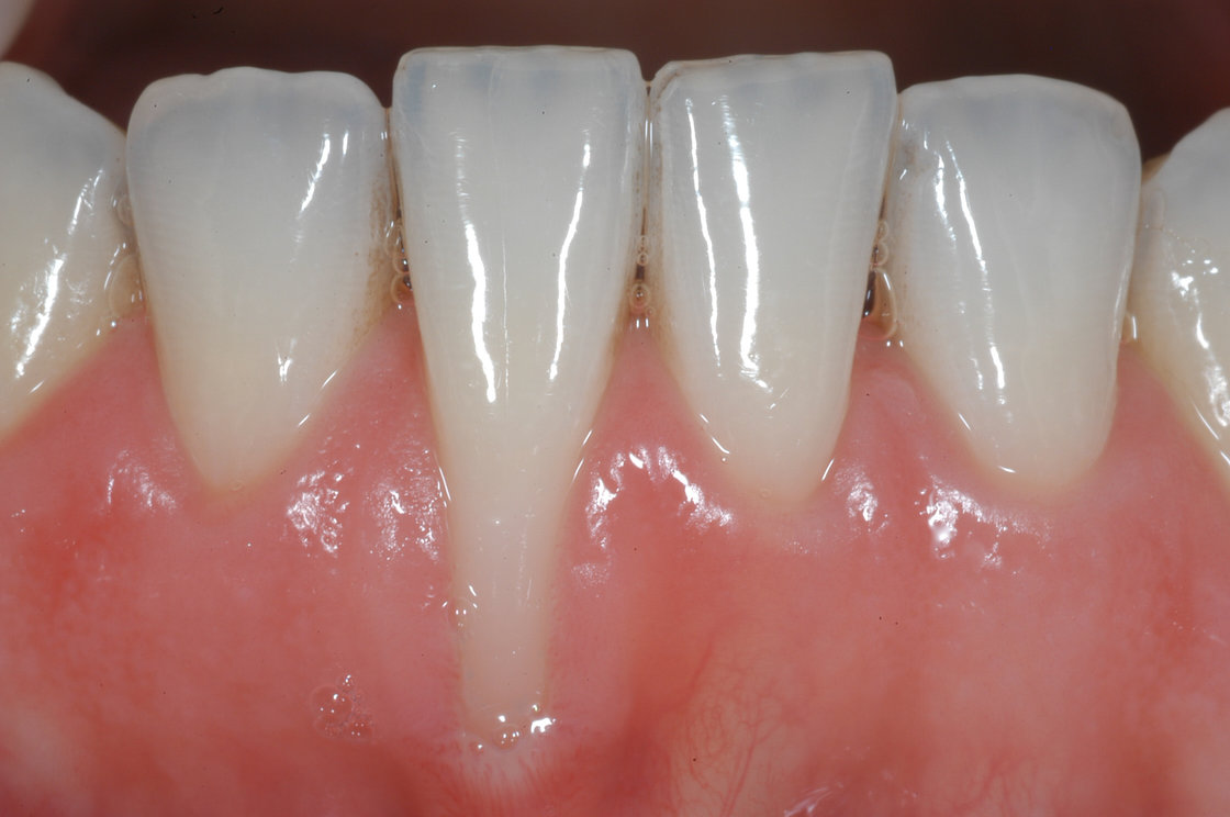
Tụt lợi (tụt nướu) là tình trạng nướu bị sâu và từ từ bắt đầu mòn đi, do đó làm lộ ra nhiều răng và chân răng hơn. Nguyên nhân nào gây ra tình trạng tụt lợi? Và cách khắc phục như thế nào?
Nếu không được điều trị, tụt nướu có thể làm cho chân răng hoặc thậm chí mô xương hoàn toàn bị tổn thương, có nguy cơ làm tổn thương dây thần kinh răng, mất răng hoặc nhiễm trùng nặng hơn. Trong bài viết này, chúng ta sẽ tìm hiểu về nguyên nhân, triệu chứng và các giải pháp thực sự cho tình trạng được gọi là tụt nướu.
1. Nguyên nhân nào gây ra tình trạng tụt lợi?
Có nhiều nguyên nhân dẫn đến tụt lợi:
Bệnh nha chu là nguyên nhân phổ biến nhất. Sự lây lan của nướu bị nhiễm trùng ăn mòn từ nướu và các mô xương khỏe mạnh khác.
Đánh răng quá mạnh hoặc quá nhiều cũng có thể khiến nướu bị mòn và từ từ bị sâu
Vệ sinh răng miệng không đầy đủ góp phần tạo ra vi khuẩn xấu và tích tụ mảng bám, phá hủy nướu răng của bạn.
Những thay đổi nội tiết tố như những thay đổi xảy ra trong tuổi dậy thì, mang thai và mãn kinh có thể làm cho các mô nướu của bạn bị sâu hơn.
Người sử dụng thuốc lá thường có nhiều mảng bám tích tụ trên răng, nướu, làm tổn thương nướu của bạn
Nghiến răng hay khớp cắn sai lệch có thể gây ra tình trạng mòn không đều trên nướu và răng, dẫn đến tụt nướu ở những vùng bị ảnh hưởng.
2. Làm thế nào để bạn nhận ra mình đang bị tụt lợi?
Các bác sĩ có chuyên môn mới có thể chuẩn đoán chính xác và giúp bạn điều trị tình trạng tụt lợi. Nướu khỏe mạnh, có màu hồng đẹp và khỏe mạnh, đường viền nướu đồng nhất xung quanh tất cả các răng của bạn. Tuy nhiên, bạn có thể nghi ngờ nướu của mình đang bị tụt với những dấu hiệu sau:
- Nướu đang tụt dần khỏi răng
- Răng có vẻ dài hơn những chiếc răng khá
- Nướu bị sưng
- Xuất hiện khoảng trống giữa các răng
- Nướu đỏ hoặc chảy máu khi đánh răng, khi dùng chỉ nha khoa
- Nướu đau và khó chịu
- Răng lung lay
3. Khắc phục tình trạng tụt nướu như thế nào?
Nếu bạn đang gặp những tình trạng trên, hãy liên hệ với nha sĩ. Vì mô nướu sẽ không phát triển trở lại, nên cần phương pháp điều trị phù hợp, ngăn chặn tình trạng tụt nướu và ngăn nướu tụt sâu hơn.
Tùy thuộc vào mức độ sâu do bệnh nướu răng gây ra, bác si sẽ làm sạch sâu và kháng sinh để giúp loại bỏ nhiễm trùng và tiêu diệt hết vi khuẩn xấu. Đối với những trường hợp nặng hơn, sẽ cần đến phẫu thuật hoặc ghép mô để tái tạo các cấu trúc nướu và xương đã bị tổn thương.
Bạn cần nhớ răng, các bệnh về nướu không phải nguyên nhân duy nhất gây tụt lợi. Câc biện pháp phòng ngừa như điều chỉnh khớp cắn, bỏ hút thuốc và điều trị sâu răng sớm sẽ giúp ngăn ngừa tổn thương nướu và bảo vệ nụ cười của bạn.
4. Bảo vệ nướu răng của bạn
Bạn có thể ngăn ngừa tình trạng tụt lợi, các bệnh về nướu răng bằng cách đánh răng và dùng chỉ nha khoa ít nhất 2 lần/ngày. Thường xuyên làm sạch và kiểm tra răng miệng với nha sĩ 2 lần/năm. Ngoài ra, bạn cần có chế độ ăn uống cân bằng và lành mạnh. Nếu nghi ngờ mình đang vị tụt nướu, hãy liên hệ ngay với nha sĩ để tìm ra nguyên nhân và ngăn ngừa tổn thương thêm.
Nướu răng khỏe mạnh là nền tảng cho một nụ cười khỏe đẹp, vì vậy việc chăm sóc nướu răng của bạn rất quan trọng. Nếu có vấn đề hay bất cứ thắc mắc nào, hãy liên hệ với Nha Khoa An để được tư vấn MIỄN PHÍ!!
ĐĂNG KÝ TƯ VẤN MIỄN PHÍ
